All photos on this page are of Mermaid or our followers, nothing is taken from the internet. If you would like to submit one to add to the gallery please contact me!
Age 1
Age 1
Age 1
Age 2
Age 2
Age 2
Age 2 Wartpeel trial


Age 2
New growth as of 10/15
Age 2
Age 3

Progression on Mermaid



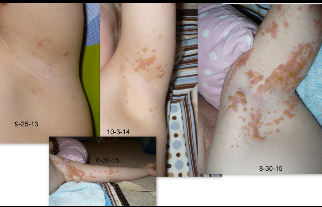
Progression of armpit Nevus on one of our little friends.
Before/After a Tazorac trial

Age 9

3 Comments









Prayers sent your way! I wish their was more awareness of nevus! Honestly never heard of Mermaid before but then again I never heard of any type of Nevi until a year ago when my daughter was diagnosed wiyh Melanoma. She has a congetial melanocytic nevus and up until the day the tumor grew on it I was still convinced it was only a birthmark. Thank you for sharing your story! Love and prayers from Cincinnati
LikeLike
Thank you so much! Prayers your way too! I am sure your ordeal has ben scary, I hope if it’s only a small bit, that I bring eyes and awareness to all forms of Nevus to people that never would have known. Were all in this together! Thank you for reading and commenting!
LikeLike
I finally figured out I have ILVEN after living with it for about 10 years.
It started showing on my left leg/foot when I was about 4/5. I went to see my first dermatologist when I was 9 and they did a biopsy of one of the “scabs”. They didn’t find anything. When I was 10, I saw a different dermatologist and he did a deep biopsy but didn’t find anything.
I just started to “deal” with it. Kind of. I wouldn’t wear shorts, dresses, or skirts because I hated all the questions. I would always wear shoes that covered my foot because I didn’t want anyone to see.
When I was 15, I went to see another dermatologist. He walked in the room and immediately knew what it was. I have a cream that I put on and wrap in saran wrap overnight.
I’ve slowly become comfortable with it. Now that I know what it is, I’m comfortable with people asking questions about it. It does hurt sometimes because it cracks. And it get red when I’m stressed. But for the most part, I’m fine with it. It’s a part of me and I think it’s helped me become more confident in myself.
LikeLiked by 1 person